Claviculafractuur of sleutelbeenbreuk


Wat is het?

Het sleutelbeen verbindt het schouderblad met het borstbeen. Breuken kunnen optreden door een val rechstreeks op de zijkant van de schouder, zoals bvb bij een val met de fiets.

Klachten

De voornaamste klacht is uiteraard pijn over het verloop van het sleutelbeen. Vaak zal er ook een zwelling zichtbaar zijn door een onderliggende verplaatsing van de breuk. Soms kan je de breukfragmenten ook voelen bewegen tov elkaar. 

Diagnose

De diagnose wordt gesteld op basis van een RX opname. Bijkomende scans zijn zelden nodig.

Behandeling

Indien de stand van de breuk aanvaardbaar is , zal meestal conservatief behandeld worden door middel van een draagdoek. Deze draagdoek zal normaliter een 6-tal weken nodig zijn. De draagdoek mag gerust af en toe uit gedaan worden om de elleboog, pols en hand te bewegen. Normaal gezien zal er na 6 weken beginnende heling optreden van de breuk en mag je de schouder beginnen bewegen binnen de pijngrens, maar nog niet belasten. 

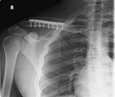
Als de breuk teveel verplaatst is of uit teveel fragmenten bestaat, zal er meestal een operatieve behandeling nodig zijn. Hierbij wordt de breuk terug op zijn plaats gezet en gestabiliseerd door middel van een plaat en schroeven. 

Na een ingreep is de pijn meestal snel beter en kan er sneller gerevalideerd worden. 

Clavicula fractuur

Operatieve behandeling met plaat en schroeven