Herstel breuk sleutelbeen


Wat is het?

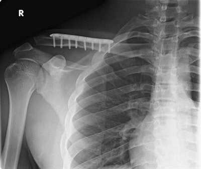
Bij een operatief herstel van een sleutelbeenbreuk zal er een insnede gemaakt worden over het sleutelbeen en vervolgens zal de breuk terug op zijn plaats gezet worden. Nadien wordt de breuk gestabiliseerd door middel van een plaat en schroeven. Deze houden de breuk op zijn plaats zodat die kan genezen. 

Waarom wordt dit gedaan?

Als de breuk te fel verplaatst is of uit meerdere fragmenten bestaat, is er een reële kans dat de breuk niet vanzelf zal genezen. Een niet-geheelde breuk zal meestal pijn blijven veroorzaken. 

Soms wordt er ook geopteerd om over te gaan tot een operatie om sneller te kunnen revalideren. 

Verdoving

De operatie gebeurt onder algemene verdoving. Meestal wordt net voor de operatie nog bijkomende locoregionale verdoving voorzien door middel van een zenuwblock in de hals. Dit heeft als voordeel dat er minder verdovende medicatie moet gegeven worden, waardoor je na de ingreep minder misselijk/slaperig bent. Ook na de ingreep werkt deze locoregionale verdoving nog 12-24u verder waardoor je minder pijn hebt.

Revalidatie

Na de ingreep mag je de arm onmiddellijk gebruiken binnen de pijngrens. Je krijgt een draagdoek tegen de pijn. Deze mag afgebouwd worden op geleide van de pijn.

De eerste 6 weken mag je de schouder nog niet belasten. 

De revalidatie duurt gemiddeld genomen 2-3 maanden.