Knieprothese

Een knieprothese wordt geplaatst bij mensen waarbij het kraakbeen van de knie volledig is  afgesleten, door artrose (slijtage), reuma of na een vroegere breuk.

 

Hoe zit een kniegewricht in elkaar?

Het kniegewricht wordt gevormd door drie botuiteinden. Dit zijn de onderkant van het dijbeen, de bovenkant van het scheenbeen en de knieschijf.

Zowel het uiteinde van het dijbeen als de bovenkant van het scheenbeen zijn bedekt met een gladde laag kraakbeen. Ook de achterzijde van de knieschijf is hiermee bedekt. Dit kraakbeen is elastisch en kan schokken en stoten opvangen. Zolang dit oppervlak van goede kwaliteit is, kan dit gewricht tot op hoge leeftijd pijnloos functioneren.

Tussen de botuiteinden van het dijbeen en het scheenbeen bevindt zich een meniscus aan de binnen- en aan de buitenzijde. De meniscus functioneert als een schokdemper, die de wrijving vermindert.

Bij sommigen echter, wordt de kraakbeenlaag zo slecht van kwaliteit, dat deze gaat afslijten. Deze slijtage wordt artrose genoemd. Meestal betreft het gewone slijtage op oudere leeftijd, maar soms ook op jongere leeftijd.

Oorzaken van vervroegde slijtage in de knie zijn ondermeer een ongeval, een botbreuk, overgewicht of een reumatische ontsteking. Ook als uw meniscus verwijderd is, verhoogt dit de kans op versnelde slijtage. 

Wat houdt artrose (slijtage) van de knie in?

Artrose is de aftakeling van het gewrichtskraakbeen. Tengevolge van slijtage wordt het gewrichtskraakbeen minder elastisch. Er komen scheurtjes in en het wordt dun en onregelmatig. Hierdoor verliest het zijn gladheid, waardoor de knie stijver en gevoeliger wordt.

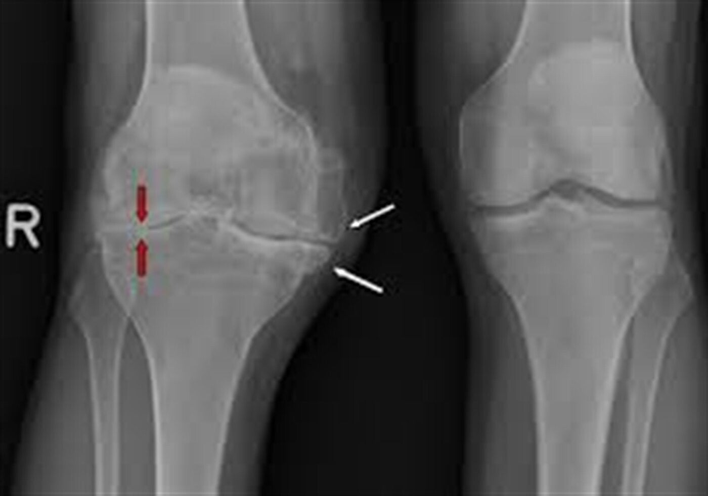
Niet alleen het kraakbeen ondergaat veranderingen, maar ook het bot. Aan de randen van het gewrichtsoppervlak ontstaan botaangroeiingen, zoals te zien is op de foto. Hierdoor worden de fraaie, gladde oppervlakten in het kniegewricht misvormd.

Er ontstaat een ruw oppervlak met vaak een standafwijking van het onderbeen. (X-of O-beenstand). 

Hoe ziet een knieprothese eruit?

Men maakt een onderscheid tussen een halve of een volledige knieprothese.

Er zijn echter tal van verschillende combinaties (behoud van kruisbanden, bedekken van de knieschijf, al dan niet met scharnier,...) welke deels op voorhand kunnen bepaald worden, maar soms enkel tijdens de operatie. De chirurg zal dit met u bespreken.

Totale knieprothese

Bij deze operatie worden de versleten uiteinden van het dijbeen en scheenbeen vervangen door metalen prothesedelen, die meestal door middel van botcement stevig verankerd worden. Daartussen komt een kunststof schijfje, dat de spanning tussen de prothesedelen in stand houdt en de wrijving vermindert.

Unicondylaire (halve) knieprothese

Soms is er alleen slijtage aan de binnenzijde of buitenzijde van het gewricht.

In die gevallen kan een “halve knieprothese” volstaan. Hier wordt alleen het aangetaste kraakbeen vervangen aan één zijde van de knie. Deze heeft enkele belangrijke voordelen ten opzichte van een totale knieprothese. De revalidatie na de operatie verloopt sneller, er is een kleinere insnede vereist en de hospitalisatie is korter. Maar de indicaties zijn beperkt en er moet aan enkele voorwaarden voldaan zijn.

Voorbereidende onderzoeken

Nadat de orthopedisch chirurg samen met u tot een operatie heeft besloten is het van belang om een goed beeld te hebben van uw gezondheidstoestand. Daarom is het nodig dat iedere patiënt een aantal pre-operatieve onderzoeken laat uitvoeren. Dit omvat een bloedonderzoek, een EKG (filmpje an het hart), een urineonderzoek bij vrouwen en indien nodig een consultatie bij een andere specialist (internist, longarts of cardioloog). Indien er vooraf reeds longproblemen waren, wordt pre-operatief een RX van de longen genomen.

Kruisproeven
Om rodebloedcelconcentraat (bloedzakje) te kunnen klaarmaken om eventueel toe te dienen aan de patiënt tijdens of na een chirurgische ingreep, moeten we beschikken over 2 bloedgroep bepalingen (wettelijke verplichting) waarvan minimaal 1 bepaling in ons eigen labo uitgevoerd is. Heel vaak zal dus 2 maal bij u bloed geprikt worden om uw veiligheid maximaal te garanderen. Een duidelijk leesbare bloedgroepkaart met naam en geboortedatum kan de bloedname tot één herleiden.

Tandarts
Het is sterk aan te bevelen uw gebit voor de operatie door de tandarts of mondhygiëniste te laten beoordelen. Het gebit dient ten tijde van de operatie schoon te zijn. Een ontsteking in het gebit kan via het bloed naar een gewricht met een prothese overslaan. Als u na de operatie een tandheelkundige ingreep moet ondergaan is bescherming van uw knieprothese d.m.v. antibiotica aan te bevelen

Bloedverdunnende medicatie
Indien u bloedverdunnende medicatie gebruikt, moet u dit aan uw specialist melden. Om ongewenste bloedingen tijdens en na uw operatie te voorkomen, zult u deze tabletten een aantal dagen voor uw operatie niet meer mogen innemen. Hoeveel dagen tevoren, hangt af van het soort bloedverdunner dat u gebruikt en de reden waarom. Dit bespreekt u op de raadpleging met de orthopedisch chirurg. 

De Operatie

De ingreep kan gebeuren onder spinale anaesthesie (= via een ruggeprik) of onder algemene anaesthesie. De anesthesist zal dit met u bespreken.

Bij het plaatsen van een knieprothese worden de afgesleten gewrichtsoppervlakten van het boven- en onderbeen bekleed met een metalen component waartussen een polyethyleen spacer wordt geplaatst, die als nieuwe glijlaag tussen de gewrichtsoppervlakten wordt ingebracht. De metalen componenten worden met botcement gefixeerd. Meestal wordt ook op de (afgesleten) achterzijde van de knieschijf een polyethyleen component gecementeerd. Tijdens de operatie wordt in uw knie de nodige medicatie ingespoten om na de ingreep de pijn te beperken.

De Revalidatie

De revalidatie na het plaatsen van een totale knieprothese is zeer belangrijk. Reeds de dag na de ingreep zal deze gestart worden. We maken gebruik van een kinetec toestel, dat u helpt bij het plooien van de knie.

Tevens ga je elke dag naar de oefenzaal van het revalidatiecentrum.

Enkele dagen na de operatie kan u het ziekenhuis verlaten, doch uiteraard dient ook thuis de revalidatie intensief te worden geconitnueerd. Dit kan via een kinesitherapuet uit de buurt of via het busje dat u thuis oppikt, naar het revalidatiecentrum brengt en u nadien thuis weer afzet.

Krukken worden aangeraden de eerste 4-6 weken, nadien mogen deze progressief worden afgebouwd.

Hoe goed een operatie ook verlopen mag zijn, de revalidatie maakt het verschil. Drie maanden zal je intensief moeten oefenen. Nadien is in beweging blijven heel belangrijk.

Complicaties

Ondanks alle zorg, die aan de operatie wordt besteed, kunnen er soms toch complicaties optreden. Als u één van de onderstaande verschijnselen bemerkt moet u contact opnemen met uw huisarts of met de behandelend orthopedisch chirurg.

Nabloeding
In de eerste 2 weken na de operatie kan een lekkend bloedvat ervoor zorgen dat bloed zich ophoopt in de knie. Meestal volstaat hiervoor een drukverband en ijs, zeer zelden moet het overtollige bloed verwijderd worden.

Infectie
Men spreekt van infectie als een ontsteking wordt veroorzaakt door bacteriën. Besmetting met bacteriën kan tijdens de operatie opgelopen worden, zonder bekende oorzaak. Dit is de reden dat elke patiënt tijdens de operatie antibiotica krijgt toegediend. Ook kan een infectie elders in het lichaam via de bloedbaan overslaan naar de prothese, waardoor dit gewricht ontstoken raakt. 

Kenmerken hiervan zijn: plaatselijke roodheid, zwelling, koorts en pijn. Uit de operatiewonde kan wondvocht of pus lekken. Er dient zo spoedig mogelijk contact genomen te worden met de chirurg.

Koorts
De eerste week na de operatie is dit vaak het gevolg van de operatie zelf. Bij aanhoudende temperatuursverhoging is het echter een mogelijk teken van ontsteking.

Lekken van de wonde
Als uit uw wonde spontaan vocht gaat lekken na ontslag uit het ziekenhuis is dit een reden om contact op te nemen met de afdeling orthopedie.

Trombose (flebitis)
Bij trombose ontstaat er een (ongewenst) stolsel in een bloedvat, meestal in de kuitader. Het onderbeen is hierbij pijnlijk, zwelt op en wordt licht rood en glanzend. Om dit te voorkomen krijgt u medicatie en steunkousen en dient u de knie en de voeten zo snel en zo veel mogelijk te bewegen. Het is mogelijk dat trombose ontstaat ondanks antistollingsmedicijnen! Bij verdenking op trombose kunt u contact met uw huisarts opnemen of met de dienst orthopedie.